
STRAIGHTENING⻭列矯正

- いつまでも美しく健康な⻭に
- ⻭磨きしやすい、汚れが溜まりにくい⻭並びを作ることで、⾒た⽬だけでなく健康的なお⼝の環境を作ることができます。また⻭並びが整うことで⻭の汚れを落としやすくなり、⾍⻭や⻭周病のリスク回避にも繋がります。それ以外にも⾷べ物がよく噛めない、⻭に負担がかかりやすい、喋りにくいなど様々なデメリットがあります。

- あなたの⼝元や⻭並びのお悩みを聞き、
治療計画をご提案をいたします。 - 桃のはな⻭科クリニックではレントゲン撮影を⾏い、⻭並びだけでなく⾻格の歪みも確認します。
矯正治療を⾏うと、装置によって⻭磨きが⼗分に⾏き届かなかったり、汚れがつきやすくなってしまうことがあります。矯正治療を⾏いつつも⾍⻭や⻭周病が進⾏してしいないか常に確認させていただき、定期的に⻭のメンテナンスを⾏います。 また様々な治療法が存在しますが、桃のはな⻭科クリニックではあなたに合った治療を提案するために治療法を⼀つに絞るのではなく、ワイヤー矯正、マウスピース矯正など、治療法を組み合わせて⾏っています。
マウスピース型カスタムメイド矯正装置(インビザライン)症例集
※記載の料金は治療開始当時のものであり、現在は価格改定により料金が異なります。
-
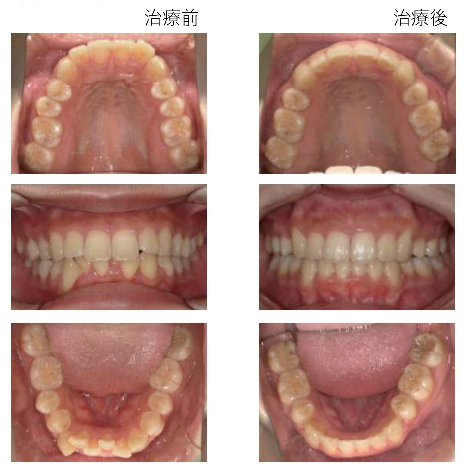
CASE1
【主訴】
前歯のガタつきが気になる
【診断】
上下叢生(スペース不足)、上顎前突
【年齢】
32歳
【治療方法】
インビザラインシステム(マウスピース矯正装置)と顎間ゴム使用
【抜歯の有無】
無
【治療期間と回数】
1年2か月、約9回
【治療費用】
検査費5,500円+748,000円(毎回の診察費と保定装置費用含む)
【リスクと副作用】
歯並びのガタつきが強い部分は歯茎が下がりやすいです。1日20時間以上装着し、上下の歯にゴムかけをしないと予定通り歯が動かないことがあります。 -
CASE2
【主訴】
前歯のガタつきが気になる
【診断】
上下叢生(スペース不足)、右上側切歯先天欠如
【年齢】
31歳
【治療方法】
インビザラインシステム(マウスピース矯正装置)
【抜歯の有無】
有(上下の歯の本数を揃えるため、下の前歯を1本抜歯)
【治療期間と回数】
1年4か月、約10回
【治療費用】
検査費5,500円+抜歯費用5,500円+748,000円(毎回の診察費と保定装置費用含む)
【リスクと副作用】
歯を抜いた後、出血と痛みがでることがあります。歯並びのガタつきが強い部分は歯茎が下がりやすいです。1日20時間以上装着しないと予定通り歯が動かないことがあります。 -
CASE3
【主訴】
前歯のすきっ歯が気になる
【診断】
上下空隙歯列(スペースあまり)
【年齢】
23歳
【治療方法】
インビザラインシステム(マウスピース矯正装置)
【抜歯の有無】
無
【治療期間と回数】
7か月、約7回
【治療費用】
検査費5,500円+439,780円(毎回の診察費と保定装置費用含む)
【リスクと副作用】
1日20時間以上装着しないと予定通り歯が動かないことがあります。治療期間が短くても、適切に保定装置を装着しないと後戻りが起きる可能性があります。 -
CASE4
【主訴】
矯正治療後の後戻り(ガタつき)
【診断】
上下叢生(スペース不足)、上顎前突、上顎左右側切歯の矮小歯(歯の大きさが通常より小さい)
【年齢】
29歳
【治療方法】
インビザラインシステム(マウスピース矯正装置)と顎間ゴム使用。矮小歯に対してセラミック治療(歯の大きさと形の修正)※上下の歯の大きさが不揃いのままだと後戻りが起きやすいです
【抜歯の有無】
無
【治療期間と回数】
1年と10か月、約10回(そのうち3回のセラミック治療を含む)
【治療費用】
検査費5,500円+748,000円(毎回の診察費と保定装置費用含む) セラミック費用2本分154,000円
【リスクと副作用】
1日20時間以上装着し、上下の歯にゴムかけをしないと予定通り歯が動かないことがあります。セラミック治療した部位がしみることがあります。 -
CASE5
【主訴】
前歯のガタつきと出っ歯が気になる
【診断】
上下顎前突、叢生(スペース不足)
【年齢】
24歳
【治療方法】
インビザラインシステム(マウスピー ス矯正装置)と顎間ゴム、インプラントアンカー 使用。
【抜歯の有無】
有
【治療期間と回数】
2年11か月、約23回
【治療費用】
検査費5,500円+抜歯費用22,000円(4本分)
インプラントアンカー費用33,000円
659,780円(毎回の診察費と保定装置費用含 む)
【リスクと副作用】
歯を抜いた後、出血と痛みがでることがあります。
1日20時間以上装着し、上 下の歯にゴムかけをしないと予定通り歯が動かないことがあります。 -
CASE6
【主訴】
前歯の捻じれとガタつきが気になる
【診断】
上下顎叢生、下顎後退、左側第二大臼歯部鋏状咬合
【年齢】
23歳
【治療方法】
リンガルアーチで左側第二大臼歯の噛み合わせを修正後、インビザラインシステム(マウスピース矯正装置)と顎間ゴム使用。
【抜歯の有無】
無
【治療期間と回数】
2年0か月、約27回
【治療費用】
検査費5,500円
+リンガルアーチ装着中の診察費3,850円
+659,780円(毎回の診察費と保定装置費用含む)
【リスクと副作用】
1日20時間以上装着し、上下の歯にゴムかけをしないと予定通り歯が動かないことがあります。
お⼦様の最適な矯正時期
-

- 早い時期から矯正検診を
行うことが大切です - 時期や状況を把握するために検診をすることが大切であり、早い時期に矯正を行うことで成長を阻害することを避けたり、健やかな歯を維持することができたりします。
- 早い時期から矯正検診を
- ⻭並びに悪影響な習慣を排除することも⼤切です
- お⼦様の場合、指しゃぶりや⼝呼吸など悪習癖があると顎の成⻑を阻害し、⻭並びにも影響する可能性があります。
以下が当てはまりませんか?
- よく指しゃぶりをしている
- 喋りにくい⾔葉がある
- ⼝呼吸をしている
- お⼝を閉じても前⻭が出たままになる
- お⼝が開いたままになっている
- 錠剤が飲み込みにくい
- 姿勢が悪い、傾いている
- しゃべる時に⾆が前に出る

- 歯列矯正用咬合誘導装置(マイオブレース)
-
マイオブレース・システムとは、不正咬合の原因である悪習癖をなくし、正しい⾃然な顎の成⻑を促すことで、⻭並びも改善させるマウスピースを⽤いた治療法です。マイオブレースは⻭列矯正の予防的な治療で、悪い⻭並びの根本的原因に働きかけることを⽬的とします。取り外しが可能なためワイヤー矯正のような違和感もなく⼿軽に始めることができます。
治療ポイント
・矯正装置の装着(⽇中1時間と夜間就寝時装着)
・習癖改善のためのエクササイズ、訓練
・お⼦様本⼈にも治療の理解
※治療対象は5歳頃から10歳頃までです。
矯正治療にともなう注意事項
マウスピース型矯正装置(インビザライン)について
- ①未承認医薬品であること
- マウスピース型矯正装置(インビザライン)は医薬品医療機器等法(薬事法)の承認を受けていない未承認医薬品です。
- ②入手経路
- マウスピース型矯正装置(インビザライン)は米国アライン・テクノロジー社の製品です。当院はアライン・テクノロジー・ジャパン株式会社より入手しています。
- ③国内の承認医薬品等の有無
- 国内にもマウスピース型矯正装置として医薬品医療機器等法(薬事法)の承認を受けているものは複数あります。
- ④諸外国における安全性に係る情報
- マウスピース型矯正装置(インビザライン)は1998年にFDA(米国食品医薬局)により医療機器として認証を受けています。
- ⑤医薬品副作用被害救済制度の対象外です
- マウスピース型矯正装置(インビザライン)は完成物薬機法対象外の矯正歯科装置であり、承認薬品を対象とする医薬品副作用被害救済制度の対象外となる場合があります。
矯正治療全般について
- 治療期間と通院回数の記載
- 治療期間2年から3年かかります。
通院回数はワイヤー矯正では約40回、マウスピース型矯正装置を用いた治療では10〜15回です。
- 治療費
- 矯正歯科治療は公的健康保険の適用外の自費診療となります。
矯正歯科治療における一般的なリスク、副作用
矯正歯科治療における一般的なリスク、副作用については下記の項目があり、治療前に再度説明させていただきます。
- 最初は矯正装置による不快感、痛み等があります。数日間から1、2 週間で慣れることが多いです。
- 歯の動き方には個人差があります。そのため、予想された治療期間が延長する可能性があります。
- 装置の使用状況、顎間ゴムの使用状況、定期的な通院等、矯正治療には患者さんの協力が非常に重要であり、それらが治療結果や治療期間に影響します。
- 治療中は、装置が付いているため歯が磨きにくくなります。むし歯や歯周病のリスクが高まりますので、丁寧に磨いたり、定期的なメンテナンスを受けたりすることが重要です。また、歯が動くと隠れていたむし歯が見えるようになることもあります。
- 歯を動かすことにより歯根が吸収して短くなることがあります。また、歯ぐきがやせて下がることがあります。
- 歯が並んだ後に,歯の形によってはブラックトライアングルと呼ばれる歯と歯の間の隙間が生じることがあります。
- ごくまれに歯が骨と癒着していて歯が動かないことがあります。
- ごくまれに歯を動かすことで神経が障害を受けて壊死することがあります。
- 治療途中に金属等のアレルギー症状が出ることがあります。
- 治療中に「顎関節で音が鳴る、あごが痛い、口が開けにくい」などの顎関節症状が出ることがあります。
- 様々な問題により、当初予定した治療計画を変更する可能性があります。
- 歯の形を修正したり、咬み合わせの微調整を行ったりする可能性があります。
- 矯正装置を誤飲する可能性があります。
- 歯の表面に矯正装置を取り付けている状態で外部から衝撃(ボールがぶつかるなど)を受けると,唇や頬の粘膜に裂傷を負う可能性があります。
- 装置を外す時に、エナメル質に微小な亀裂が入る可能性や、かぶせ物(補綴物)の一部が破損する可能性があります。
- 装置が外れた後、保定装置を指示通り使用しないと後戻りが生じる可能性が高くなります。
- 後戻りや経時的変化により,保定装置が合わなくなった場合は装置を作り直す必要があります。
- 装置が外れた後、現在の咬み合わせに合った状態のかぶせ物(補綴物)やむし歯の治療(修復物)などをやりなおす可能性があります。
- あごの成長発育によりかみ合わせや歯並びが変化する可能性があります。
- 治療後に親知らずが生えて、凸凹が生じる可能性があります。加齢や歯周病等により歯を支えている骨がやせるとかみ合わせや歯並びが変化することがあります。その場合、再治療等が必要になることがあります。
- 矯正歯科治療は、一度始めると元の状態に戻すことは難しくなります。


086-956-3701